-
How can we avoid patients' tension when using a vein finder device?
Nov 21 , 2025
1) Communication Script: Transforming "Unknown" into "Knowable" The patient's tension mainly stems from the fear of unknown equipment and processes. Your words are the first line of defense against fear. 1. Popularize the introduction of the equipment (avoid using medical terms) : Don't say: "We are now using an ultrasound venous imager to find your blood vessels." It can be said: "Let's use this'...
Read More
-
How can vein finder complement the workflow of ophthalmic medicine and imaging equipment?
Nov 27 , 2025
1) Core Value: Provide a unique "surface vascular map" Ophthalmic imaging equipment (such as OCT) focuses on the microscopic vascular structure of the fundus (retina, choroid), while venous detectors are adept at non-invasively visualizing the vascular network on the ocular surface and around the eye, especially: The blood vessels of the sclera and conjunctiva The blood vessels of the skin around ...
Read More
-
How to evaluate clinical effectiveness before buying a vein finder?
Dec 09 , 2025
I. Evaluation of Core Technology Performance 1. Imaging quality and clarity Resolution and contrast: Whether the vein images generated by the device are clear and can clearly distinguish the veins from the surrounding tissues (such as fat and skin pigments). Penetration depth and adaptability: Whether the venous imaging effect is stable and reliable for patients of different body types (obese, thi...
Read More
-
Vein finder maintenance guide:Lifespan, calibration, and durability.
Dec 19 , 2025
1. Lifespan: The designed lifespan of most professional-grade vein finder is typically around five years. Battery life: The performance of internal lithium batteries typically begins to decline after 300 to 500 complete charge and discharge cycles. It is recommended to keep the battery charged to avoid long-term complete depletion. Light source lifespan: Near-infrared (NIR) lasers or LED emitters ...
Read More
-
Alleviating Needle Phobia: How does Vein Finder Technology Help Anxious Patients
Jan 14 , 2026
This is where Vein Visualization Technology (Vein Finders) is changing the game. Beyond just locating veins, these devices are becoming essential tools for psychological comfort and patient retention. 1️⃣ The Science of Fear: Why "First-Stick Success" Matters Anxiety often stems from the fear of pain and the "unknown." Patients are terrified of the nurse "fishing" for a vein. The Stat: Studies sho...
Read More
-
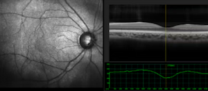
Early detection of diabetic retinopathy using OCT imaging
Jan 22 , 2026
1) Traditional Screening Methods and Their Limitations Traditionally, the screening and staging of DR Mainly relied on color fundus photography to observe two-dimensional surface lesions such as retinal microaneurysms, hemorrhage and exudation. However, this method has limitations: Strong subjectivity: Relying on the doctor's experience. Inability to observe deep structures: It is impossible to qu...
Read More
-
How deep can a medical vein finder see?
Jan 27 , 2026
1. Main detection depth General depth: Most devices can detect veins 0.2 to 1.0cm beneath the skin, but the actual effective imaging range is usually concentrated on the shallower veins under the skin (0.2 to 1.0 cm). Best effect: For clearly visible superficial veins (such as the back of the hand and forearm), the imaging effect is the best. 2. Key influencing factors Skin condition Skin color, f...
Read More