-
Vein finder maintenance guide:Lifespan, calibration, and durability.
Dec 19 , 2025
1. Lifespan: The designed lifespan of most professional-grade vein finder is typically around five years. Battery life: The performance of internal lithium batteries typically begins to decline after 300 to 500 complete charge and discharge cycles. It is recommended to keep the battery charged to avoid long-term complete depletion. Light source lifespan: Near-infrared (NIR) lasers or LED emitters ...
Read More
-
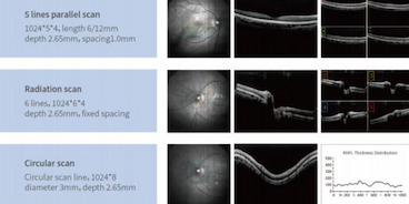
AI + OCT: How can artificial intelligence help ophthalmologists diagnose faster and more accurately?
Dec 09 , 2025
The combination of artificial intelligence (AI) and optical coherence tomography (OCT) is revolutionizing the diagnostic model of ophthalmic diseases. The core of this integration lies in combining the powerful data analysis capabilities of AI with the high-resolution biological tissue structure imaging of OCT, thereby providing doctors with insights that exceed the limits of human vision. Specifi...
Read More
-
How to evaluate clinical effectiveness before buying a vein finder?
Dec 09 , 2025
I. Evaluation of Core Technology Performance 1. Imaging quality and clarity Resolution and contrast: Whether the vein images generated by the device are clear and can clearly distinguish the veins from the surrounding tissues (such as fat and skin pigments). Penetration depth and adaptability: Whether the venous imaging effect is stable and reliable for patients of different body types (obese, thi...
Read More
-
How can vein finder complement the workflow of ophthalmic medicine and imaging equipment?
Nov 27 , 2025
1) Core Value: Provide a unique "surface vascular map" Ophthalmic imaging equipment (such as OCT) focuses on the microscopic vascular structure of the fundus (retina, choroid), while venous detectors are adept at non-invasively visualizing the vascular network on the ocular surface and around the eye, especially: The blood vessels of the sclera and conjunctiva The blood vessels of the skin around ...
Read More
-
How can we avoid patients' tension when using a vein finder device?
Nov 21 , 2025
1) Communication Script: Transforming "Unknown" into "Knowable" The patient's tension mainly stems from the fear of unknown equipment and processes. Your words are the first line of defense against fear. 1. Popularize the introduction of the equipment (avoid using medical terms) : Don't say: "We are now using an ultrasound venous imager to find your blood vessels." It can be said: "Let's use this'...
Read More
-
What advantages does the New Generation Vein Finder have for patients?
Nov 07 , 2025
It greatly increases the success rate of venipuncture and reduces the pain of repeated needling Pain point: For infants and young children, obese patients, the elderly, those in shock or those who have been receiving intravenous fluids for a long time, their blood vessels are usually thin, deep, brittle or hard to reach. Nurses may need to make multiple attempts to successfully puncture. Advantage...
Read More
-
What are the four key points that Vein Finder must pay attention to?
Oct 31 , 2025
Key Point One: Imaging technology and clarity This is the core indicator, which directly determines the practical effect of the equipment. Core technologies: Currently, there are mainly two mainstream technologies, namely infrared imaging and ultrasonic imaging. Infrared light equipment is non-contact and forms images based on the differences in the absorption of near-infrared light by hemoglobin ...
Read More
-
What benefits does Optical Coherence Tomography bring to the healthcare industry?
Oct 24 , 2025
I. (Core Value: Unparalleled Diagnostic Capability High-resolution, non-invasive "optical biopsy" Traditionally, to make a clear diagnosis of many diseases, a biopsy was required, which involves taking a small piece of tissue and observing it under a microscope. This is an invasive operation. OCT provides cross-sectional images similar to biopsies, but it is completely contactless and non-invasive...
Read More
-
International Day of the Blind丨Illuminating Vision: ZD Medical OCT Builds a Robust Defense for Retinal Health
Oct 15 , 2025
The International Day of the Blind on October 15th every year is a day that calls for attention to eye health and conveys the hope of light. When we focus on the living predicaments of the visually impaired group, a set of data should prompt more deep thought... The silent threat of blindness: The insidious nature of retinal diseases Retinal diseases such as diabetic retinopathy (DR) and age-relat...
Read More
-
What are the advantages of Eye Atomization Dry Eye Ophthalmic Nebulizer?
Sep 26 , 2025
I. Core Technological advantages: More efficient therapeutic effects Ultrafine atomization for more efficient absorption: Advantages: It breaks down the liquid medicine or artificial tears into extremely fine mist-like particles (usually with diameters ranging from 1 to 5 micrometers), which are much smaller than those of traditional eye drops. This enables the drug to cover the entire ocular surf...
Read More